|
14:26
|
В Красноярском крае школьники массово заболели пневмонией 28.11.2013 13:52
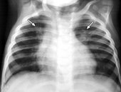
Роспотребнадзор расследует факт групповой заболеваемости внебольничной пневмонией среди учеников Ермаковской СОШ № 1. Как сообщили в пресс-службе ведомства, в школе, расположенной в селе Ермаковское, зарегистрировано 10 случаев заболевания данной инфекцией. В целях локализации и ликвидации очага проводится комплекс противоэпидемических мероприятий. Решением санитарно-противоэпидемической комиссии Ермаковского района введены дополнительные противоэпидемические мероприятия. Постановлением главы Ермаковского района в школе с 25 ноября по 4 декабря приостановлен учебный процесс. В настоящее время дети находятся под медицинским наблюдением в МБУЗ «Ермаковская ЦРБ», угроза для жизни детей отсутствует. Новых случаев внебольничной пневмонии не выявлено.
Источник: PL информационное агентство
Просмотров: 1177
Коментариев: 0
Смотрите также:
На Кремлевскую елку отправятся 88 школьников из Красноярского края В Манском районе главу сельсовета оштрафовали за неубранный вовремя снег |
Рекомендуем Покупка авиабилетов
любые направления, самые выгодные предложения Бронирование отелей
отели по всему миру, любого уровня |




